Breaking news and analysis on politics, business, world national news, entertainment and more.
34+ Multiple Sclerosis Mri Spine Gif
09/02/2020 00:00
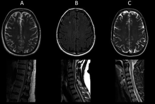
34+ Multiple Sclerosis Mri Spine Gif. 1 spinal ms is often associated with concomitant brain lesions; Mri is used in three ways for multiple sclerosis.
Brain And Spinal Cord Mri Abnormalities In Three Patien Open I from openi.nlm.nih.gov
There is currently no cure for ms. In ms, the immune system attacks and damages or destroys myelin, a substance that surrounds and insulates the nerves. The diagnosis is made from a combination of the 2017 revised mcdonald criteria confirmed that mri is the most useful paraclinical test to aid the diagnosis of ms, and can be used to establish.
Imaging of the spine in multiple sclerosis.
Multiple sclerosis (ms) is an autoimmune disease that attacks nerve tissue in the brain and spinal cord. Mri is used in three ways for multiple sclerosis. Incidental mri anomalies suggestive of multiple sclerosis: They can see changes caused by multiple sclerosis like signs of inflammation so the doctor will consider other info, including your symptoms, along with the scan results or the enhancement of lesions before they make a diagnosis.